• Mon to Sat 11:00 AM 8:30 PM, Friday 3:00 PM - 8:30 PM
Board Certified in Periodontology & Dentist

Your Smile Deserves the Best Dental Clinic Dubai

At Veneto Clinic, we offer family-friendly dental care using the latest tools. We are an award winning dental clinic Dubai, comprising best dentist Dubai providing top treatments like dental implants, teeth whitening, and veneers all in a calm, modern setting.

Welcome to Veneto Dental Clinic In Dubai

Veneto Clinic, located in Dubai Healthcare City, is a private dental clinic that opened its doors in 2019. Since its inception, we have been dedicated to delivering high-quality dental services, including Teeth Whitening, Pediatric Dentistry, Natural-Looking Veneers, and Full Mouth Rehabilitation. Our success is built on two core values: unwavering quality and a commitment to personalized, compassionate customer service.

Meet Our Doctors

Dr Ali Aljashaamy

DDS, Expert Implantologist

Dr. Hubza BDS,MSC

Specialist-Orthodontists

Dr. Marta Yaremko

General Dentist

Dr. Josephine Boueri

MS. In Orthodontists

Dr. Nael Akram Eid

BDS, CAGS, MSc, FACP & FRCD(C)

Dr. Nermeen Yakoub

General Dentist

Our Clients Review

“Exceptional Dental Care for the Whole Family! I’ve had the best experience at Veneto Dental Clinic — truly outstanding service for me and my kids! A huge thank you to Dr. Ali and Dr. Josephine for their professionalism, gentle care, and attention to detail.”

Moataz Mohamed

“I had the best dental experience with Dr. Josephine! She’s incredibly gentle, attentive, and professional. I’ve always been nervous about going to the dentist, but she made me feel so comfortable and explained every step in detail. The clinic is super clean and modern ”

Uulkan Konurbaeva

“As for me, this is the best dental clinic in Dubai! I’ve been doing my treatments here since 2021 with Dr. Ali, and I’m always impressed by his easy, confident approach and positive energy. No pain, no stress, everything is just perfect! Highly recommended!”

Allison Hayes

5 Ratings
  • Rated 5 stars based on 1200+ reviews
Post A Review
image

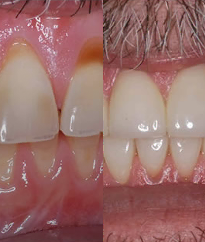
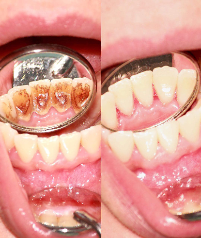
Real People, Real Results.

image

Veeners

image

Teeth Whitening

image

Dental Implants

image

Night Guards

image

Teeth Cleaning

Dental Questions

Frequently Asked Questions

Veneto Clinic is trusted for its expert dentists, modern technology, and patient-first care, all in a warm, family-friendly setting.

Teeth whitening at Veneto Clinic starts from AED 800, depending on the method. We offer Zoom, laser, and home kits.

You can get safe, long-lasting dental implants at Veneto Clinic, placed by specialists using advanced Swiss and German systems.

Yes, our clinic in Dubai Healthcare City has experienced pediatric dentists offering gentle, age-appropriate care for children and teens.

Yes, we provide emergency dental care with same-day appointments. Call us if you need urgent treatment or pain relief.

We work with major insurance providers and offer flexible payment plans to make quality care accessible and affordable for everyone.

whatsapp-icon