• Mon to Sat 11:00 AM 8:30 PM, Friday 3:00 PM - 8:30 PM

Braces for Straight Teeth Dubai

image
GENERAL DENTISTRY

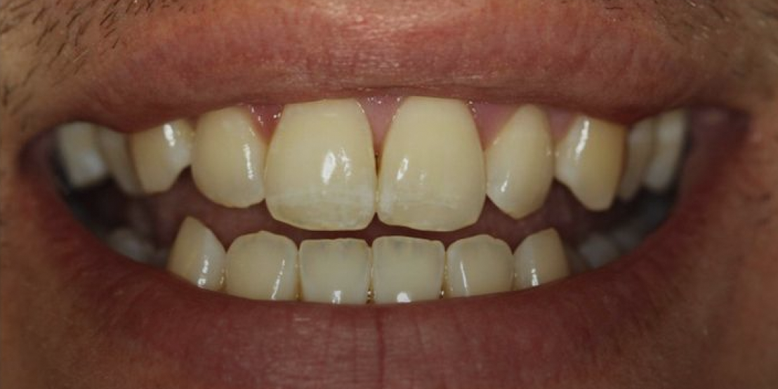
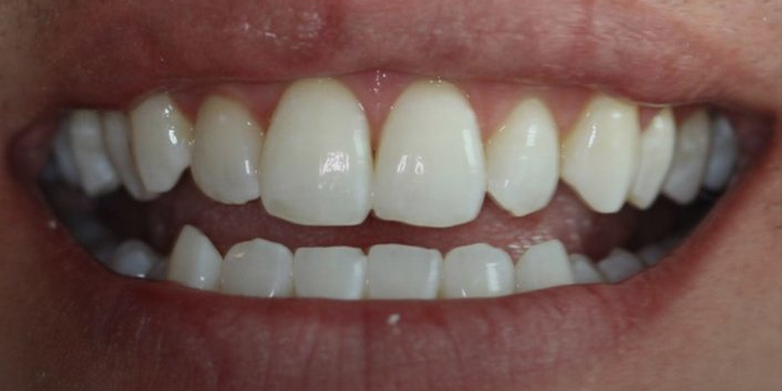
Straighten Your Teeth

Braces help correct misaligned teeth, overcrowding, and bite issues, leading to improved oral function and aesthetics. Whether you're considering traditional braces Dubai or modern solutions like invisible braces Dubai.

We provide personalized orthodontic treatments tailored to your needs. Our expert care and advanced techniques ensure long-lasting results and a confident, straighter smile. Explore your options for braces in Dubai and start your journey toward better dental health today.

Metal Braces

Our dental braces Dubai deliver consistent, long-term results and remain a top choice among patients seeking solutions.

Ceramic Braces

They’re effective for dental braces Dubai treatments, treating moderate to complex alignment problems while blending in naturally with your teeth.

Self-Ligating Braces

These braces use specialized clips instead of elastics, allowing faster treatment with less pressure and fewer dental visits.

Invisalign (Aligners)

Clear aligners offer a virtually invisible, removable solution for straightening teeth comfortably and without dietary restrictions.

Schedule Your Consultation

We start with a detailed orthodontic evaluation to recommend the right braces for your smile. Our team monitors your progress closely, ensuring comfort and effective movement. Whether you prefer metal, ceramic, or aligners, we make the journey to a perfect smile smooth and stress-free.+97145641222

whatsapp-icon