• Mon to Sat 11:00 AM 8:30 PM, Friday 3:00 PM - 8:30 PM

Custom Night Guards

image
Teeth Protection

Prevent Night Grinding

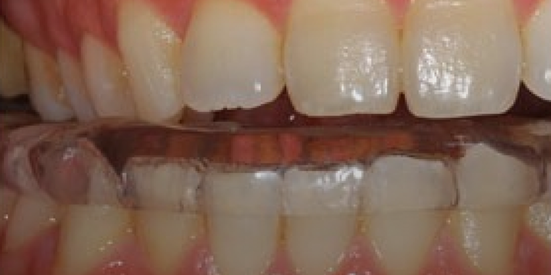
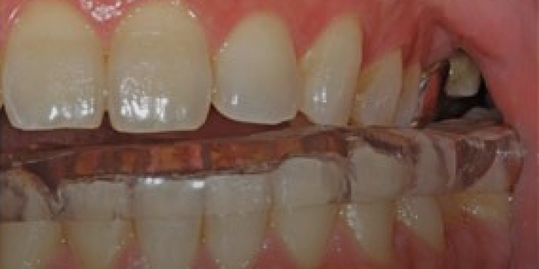
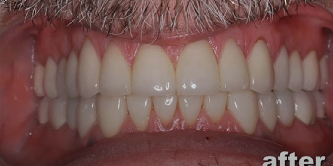
Night guards protect teeth from nighttime grinding, easing jaw strain and preventing enamel wear. Our dental night guard Dubai solutions are custom-fitted for maximum comfort and long-term protection, helping to avoid issues like tooth fractures,headaches, and TMJ disorders. For younger patients, we also offer specially designed kids night guards in UAE, ensuring effective relief from bruxism while promoting healthy development and restful sleep.

Protect Your Smile

Custom night guards provide a protective barrier between your teeth, effectively preventing damage caused by grinding or clenching. They help reduce jaw tension, protect against enamel wear, and minimize the risk of future dental problems. Designed for a precise fit and superior comfort, our night guards Dubai solutions support healthier sleep and long-term oral health. +97145641222

whatsapp-icon