• Mon to Sat 11:00 AM 8:30 PM, Friday 3:00 PM - 8:30 PM

Dental Implants Duabi

image
GENERAL DENTISTRY

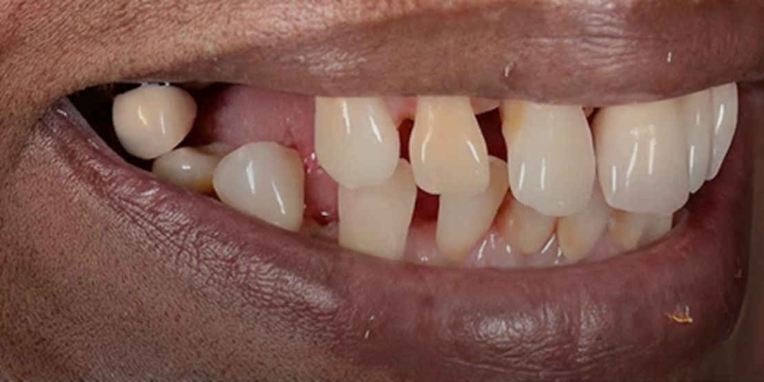
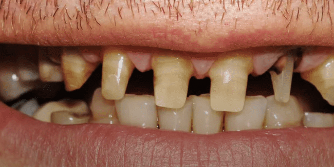
Restore Missing Teeth

Straumann dental implants provide a permanent, natural-looking solution for missing teeth, helping you regain the ability to eat, speak, and smile with confidence.

As part of our advanced dental implants Dubai services, these implants integrate securely with your jawbone, offering unmatched stability and comfort. We also offer same day dental implants Dubai for patients who want fast and effective results with minimal downtime. For full-mouth restoration, our all on dental implants Dubai option provides excellent support and aesthetics.

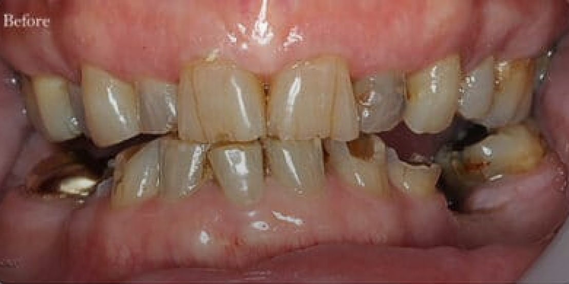
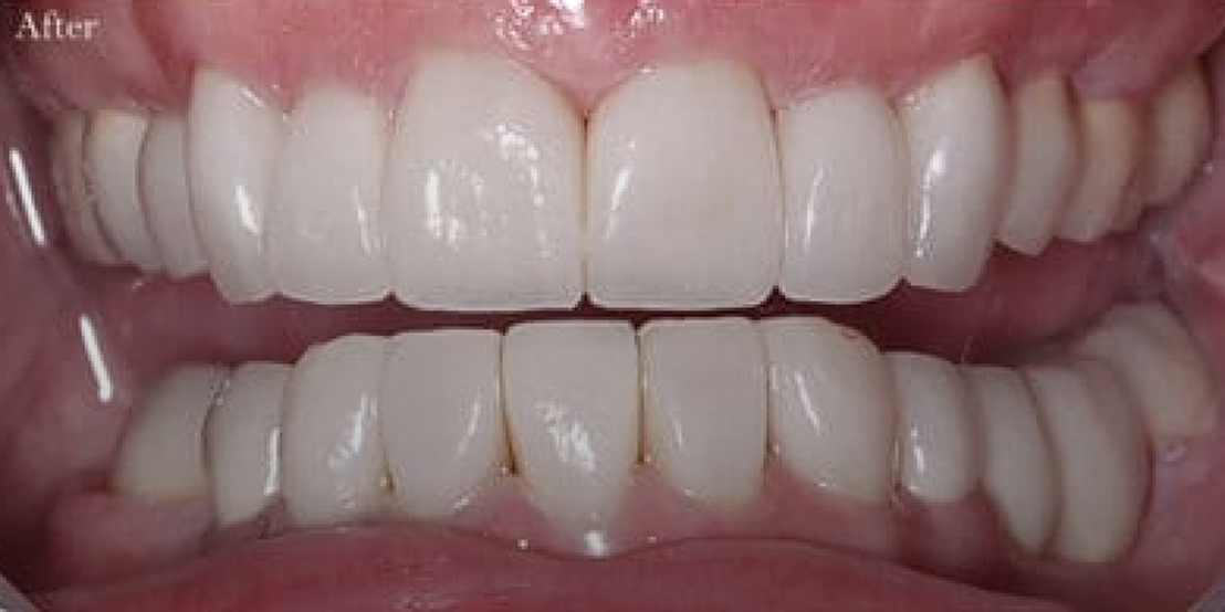
Straumann Implants

Straumann implants offer Swiss-engineered precision, aesthetics, and long-term function, ideal for advanced dental implants in Dubai.

Schedule Your Consultation

Explore Straumann’s cutting-edge implant technology during your personalized consultation. We’ll assess your needs and design a plan that delivers natural-looking, permanent results. Whether replacing one tooth or many, our expert guidance ensures optimal outcomes. Book now to take the first step toward restoring your dental health, appearance, and self-confidence.+97145641222

whatsapp-icon