• Mon to Sat 11:00 AM 8:30 PM, Friday 3:00 PM - 8:30 PM

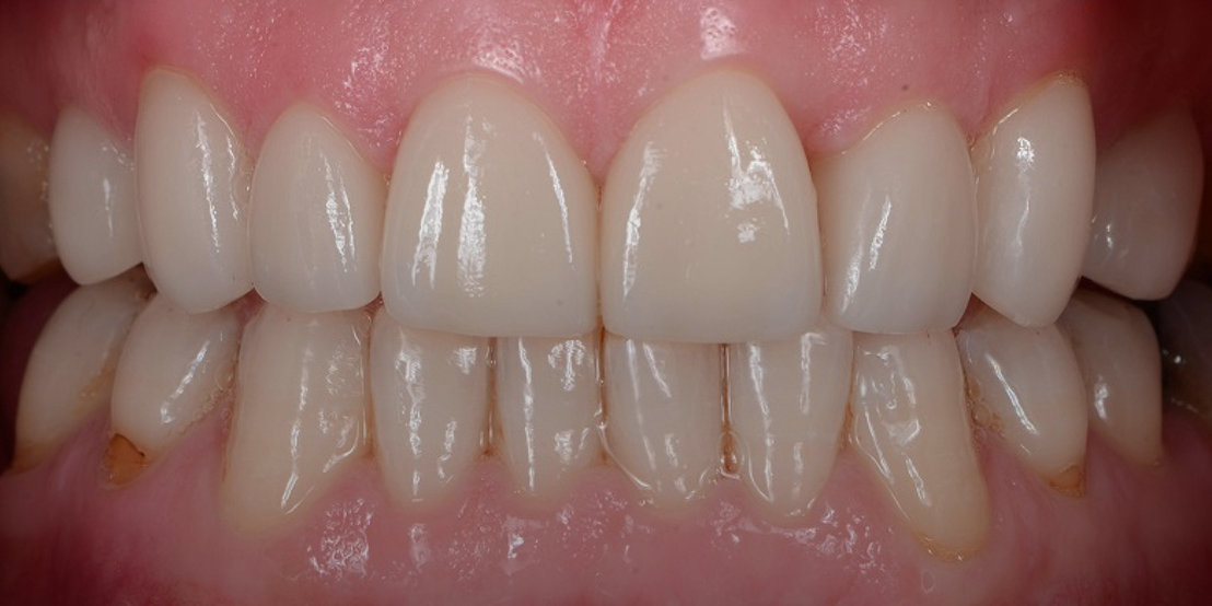
Full Mouth Rehabilitation

image
GENERAL DENTISTRY

Total Smile Restoration

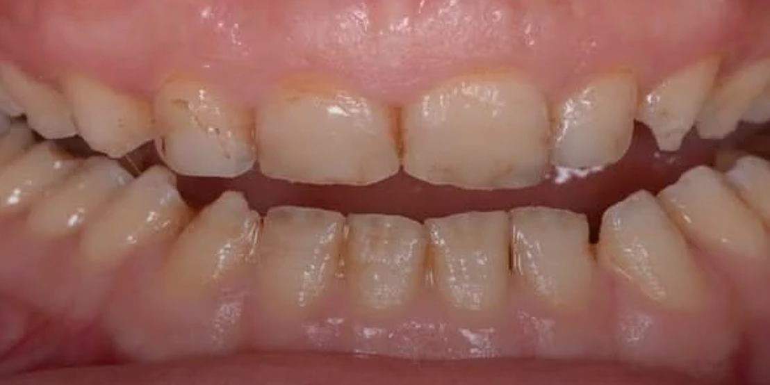
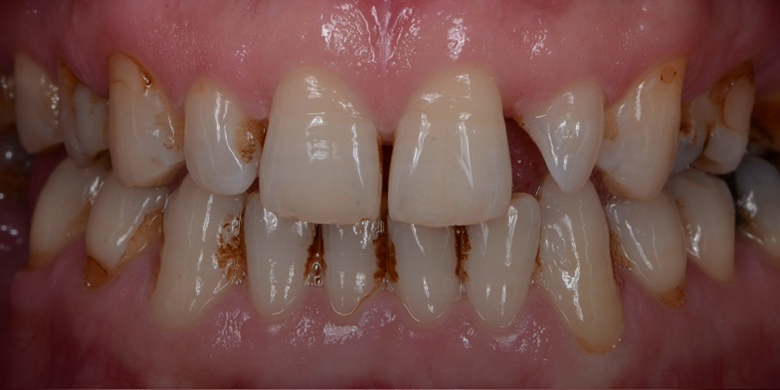
Full mouth rehabilitation Dubai transforms smiles affected by injury, decay, or long-term wear. Our customized treatment plans combine restorative and cosmetic dentistry to improve function, health, and appearance.

Full mouth rehabilitation Dubai enhances the ability to eat, speak, and smile confidently with expert care tailored to your unique needs for lasting, life-enhancing dental results.

Schedule Your Consultation

Start your journey to a fully restored smile with a comprehensive treatment plan tailored to you. Our skilled team provides everything from evaluation to implant placement under one roof. Enjoy complete dental care designed to improve both function and appearance. Begin today and experience lasting transformation with expert-led implant solutions. +97145641222

whatsapp-icon