• Mon to Sat 11:00 AM 8:30 PM, Friday 3:00 PM - 8:30 PM

Root Canal Treatment in Dubai

image
GENERAL DENTISTRY

Root Canal

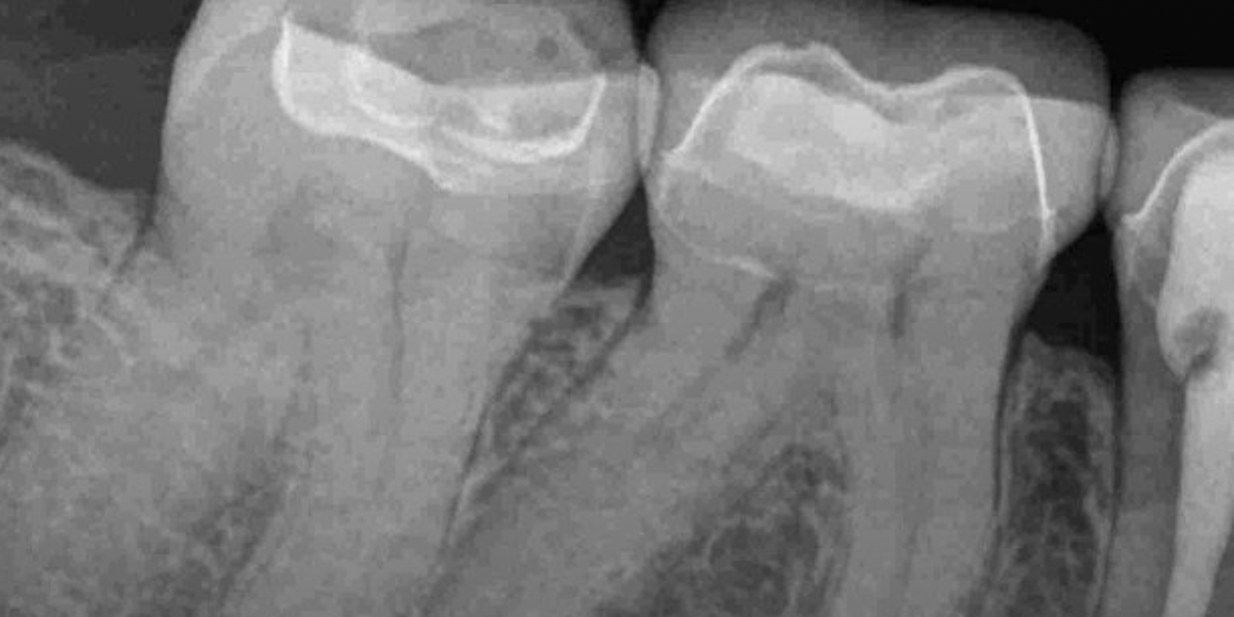
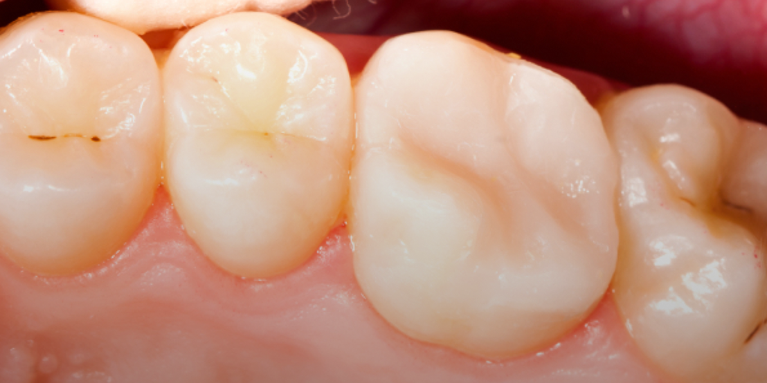
Root canal therapy removes infected pulp while preserving the natural tooth, offering pain relief and preventing further issues. At our clinic, we perform root canal Dubai procedures using advanced tools for accurate cleaning and long-term results.

In cases of severe pain, we offer emergency root canal Dubai services to treat infections promptly. Our team follows proven root canal treatment steps in Dubai to ensure your comfort and a smooth recovery. A crown is placed afterward to restore function and protect your natural smile.

Schedule Your Consultation

Our modern root canal Dubai is designed to relieve discomfort while preserving your natural tooth. Using advanced technology and a gentle root canal treatment steps Dubai, we effectively remove infection and seal the area to ensure long-term strength and protection. This treatment restores function and comfort with minimal downtime, helping you maintain a healthy, confident smile. +97145641222

whatsapp-icon