• Mon to Sat 11:00 AM 8:30 PM, Friday 3:00 PM - 8:30 PM

Professional Teeth Cleaning Dubai

image
Deep Cleaning

Brighten Your Smile

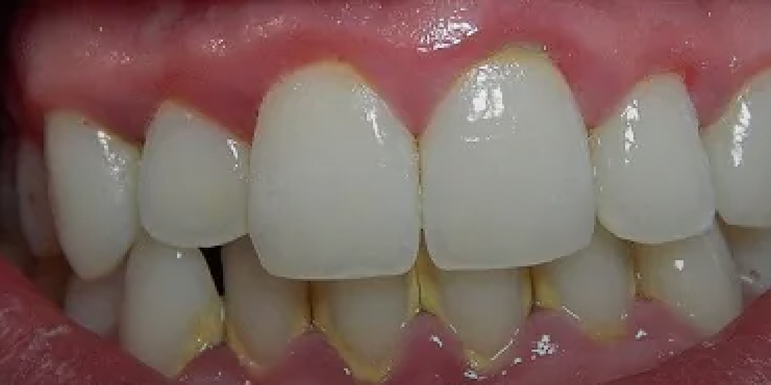
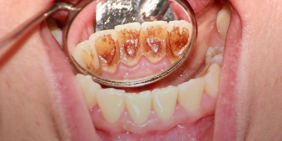
Scaling and polishing effectively remove plaque, tartar, and surface stains from your teeth and beneath the gum line. This deep teeth cleaning procedure enhances gum health, helps prevent cavities, and leaves your mouth feeling fresh.

Our expert hygienists provide gentle yet thorough teeth cleaning Dubai services to support long-term oral hygiene and deliver a smooth, polished smile.

Scaling

Our clinic offers treatments by the best dentist for teeth cleaning, ensuring our scaling effectively removes plaque from tooth surfaces and below the gum line.

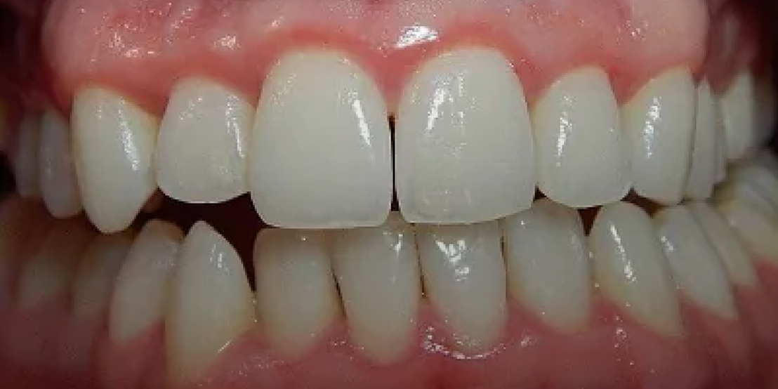
Polishing

Polishing plays an essential role in maintaining oral hygiene and pairs perfectly with teeth cleaning and whitening Dubai treatments for a brighter, healthier appearance.

Refresh Your Mouth

Professional teeth cleaning helps maintain healthy gums and fresh breath by removing stubborn tartar and stains. Our deep cleaning process reaches areas regular brushing can’t, preventing decay and promoting overall wellness. It’s a simple step with a big impact on your smile’s brightness, cleanliness, and long-term dental health. +97145641222

whatsapp-icon