• Mon to Sat 11:00 AM 8:30 PM, Friday 3:00 PM - 8:30 PM

Veneers for a Perfect Smile Dubai

image
GENERAL DENTISTRY

Discover Smile Perfection

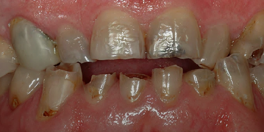
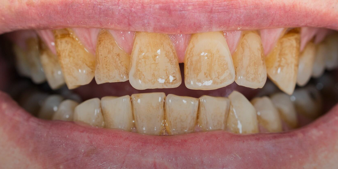
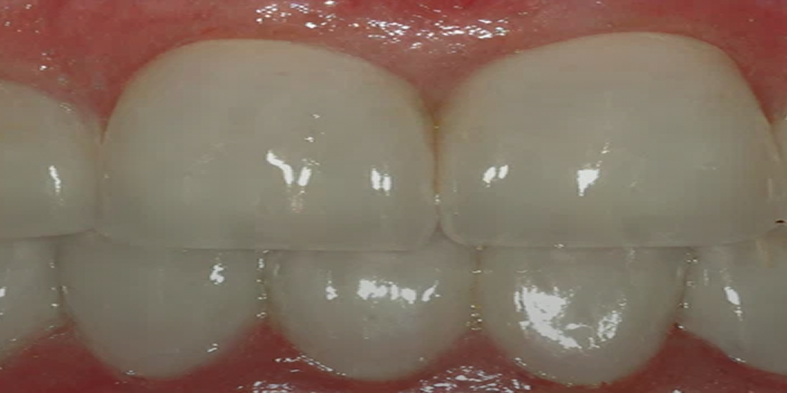
Veneers are custom-designed to conceal chips, stains, and gaps, delivering a flawless, natural-looking smile. They improve dental aesthetics, boost self-esteem, and provide lasting results. Our expert team ensures each veneer fits perfectly, creating a radiant smile that looks and feels authentic. Discover how veneers can transform your smile today.

At our clinic, we offer state-of-the-art facilities designed to ensure the highest standard of dental care. Our modern treatment rooms are equipped with advanced technology to provide precise diagnostics and effective treatments. We prioritize patient comfort in a welcoming, relaxed environment, offering a range of amenities to make each visit as smooth and stress-free as possible.

Feldspathic Veneer

A popular choice among those seeking the best veneers in Dubai for subtle and aesthetic smile improvements.

Emax Veneer

Our Emax veneers provide strength and aesthetics for a bright, lasting smile enhancement known as one of the best veneers Dubai.

Schedule Your Consultation

Ready to enhance your smile with veneers? Our skilled professionals offer a personalized consultation to guide you through every step. From design to placement, we ensure your experience is smooth and stress-free. Book today to start your journey toward a confident, natural-looking smile that suits your personality and lifestyle. +97145641222

whatsapp-icon