• Mon to Sat 11:00 AM 8:30 PM, Friday 3:00 PM - 8:30 PM

Wisdom Tooth Extraction Dubai

image
GENERAL DENTISTRY

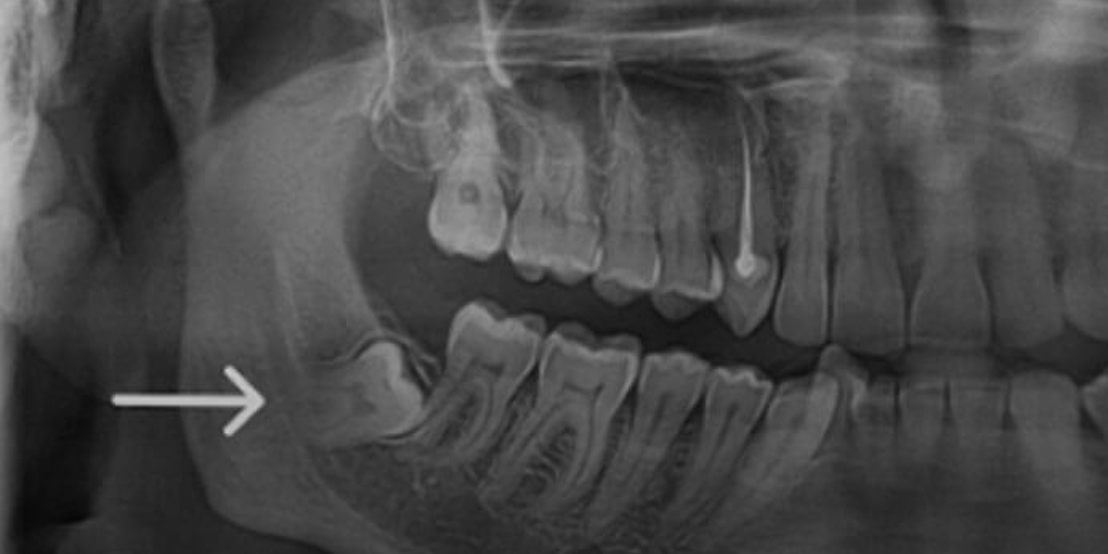
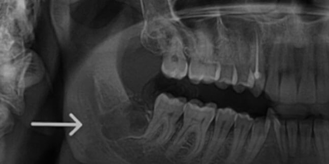
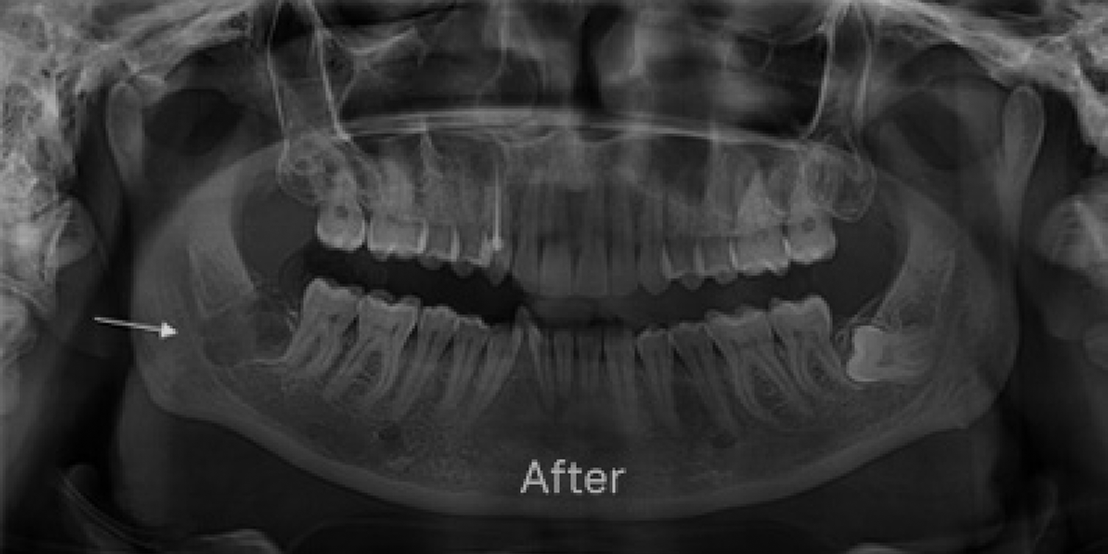
Wisdom Tooth Removal

Our high-quality dental fillings repair cavities and restore tooth strength with precision and care. We use durable, tooth-colored materials to ensure a natural appearance and long-lasting functionality.

Whether you need a dental filling Dubai treatment for decay or a dental gap filling to improve aesthetics and bite alignment, our gentle, expert approach protects your teeth and relieves discomfort. We also provide care for wisdom teeth, including safe and effective wisdom tooth extraction Dubai when needed. Count on us to keep your smile healthy, resilient, and looking its best for years to come.

Simple Extraction

It’s a trusted choice included in the best wisdom tooth extraction Dubai treatments, ideal for straightforward cases.

Surgical Extraction

As part of the best wisdom tooth extraction Dubai options, it ensures optimal care, comfort, and long-term oral health.

Schedule Your Consultation

Book your wisdom tooth evaluation today and receive expert guidance tailored to your needs. We’ll assess your situation and recommend the best course of action for a pain-free, stress-free experience. Our comfort-focused approach ensures you feel at ease throughout. Start your journey toward relief and recovery with compassionate professional care.+97145641222

whatsapp-icon